About
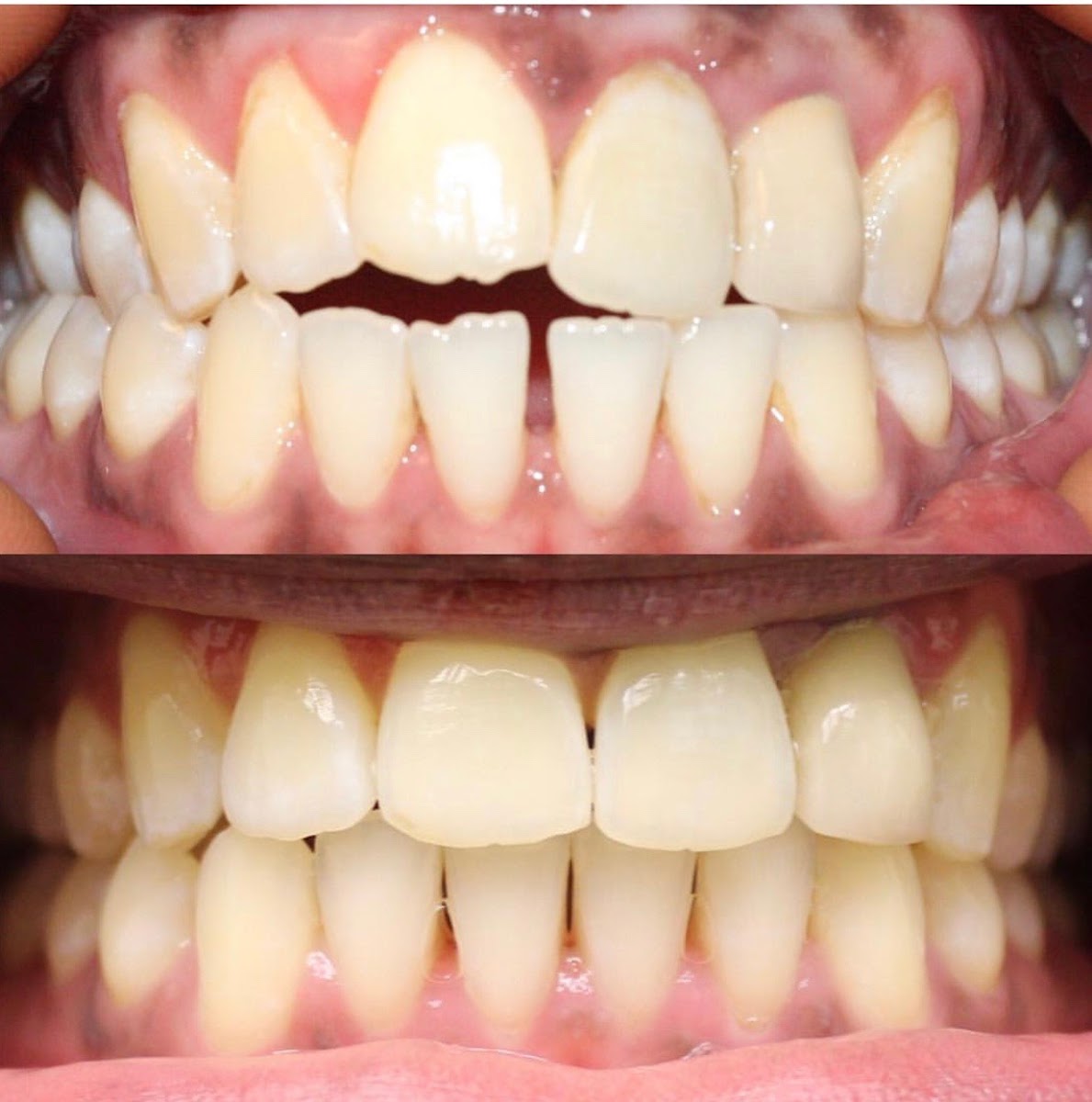
Nestled in the vibrant heart of Greenwich Village, All Smiles on 12th St. stands as a beacon of exceptional dental care, blending cutting-edge technology with old-fashioned, compassionate service. Founded over two decades ago, this boutique dental practice has established itself as a trusted healthcare partner for individuals and families in Manhattan and beyond. The journey began with a simple yet powerful vision: to create a dental home where patients are treated like family, anxiety is replaced with comfort, and clinical excellence is delivered in a warm, welcoming environment. Housed in a charming historic building at 59 W 12th St, the practice’s Apartment 1C location adds to its unique, intimate character, far removed from the impersonal, sterile feel of corporate dental chains. The philosophy at All Smiles on 12th St. is deeply rooted in a patient-centric model. Every aspect of the patient experience, from the initial phone call to the follow-up after a procedure, is meticulously designed to foster trust and alleviate the common fears associated with dental visits. The practice operates on the core belief that oral health is inextricably linked to overall systemic health and personal confidence. Therefore, their mission extends beyond fixing teeth; it is about empowering patients through education, providing personalized preventive strategies, and delivering transformative results that enhance both function and aesthetics. This holistic approach is what truly sets the practice apart. The team at All Smiles on 12th St., led by a highly credentialed and empathetic lead dentist, is the cornerstone of its success. The clinicians are not only selected for their technical prowess, having trained at top-tier institutions, but also for their exceptional interpersonal skills and commitment to lifelong learning. This ensures they remain at the forefront of advancements in dental materials, techniques, and technologies, such as digital intraoral scanners, low-radiation digital X-rays, and CAD/CAM in-house milling for same-day crowns. The practice’s expertise spans a comprehensive range of services, with particular acclaim for its cosmetic dentistry, including veneers and smile makeovers, and its sophisticated restorative work utilizing high-quality materials that mimic natural tooth structure. What defines the unique value proposition of All Smiles on 12th St. is the seamless fusion of art and science within a concierge-style framework. Appointments are never rushed, allowing for thorough consultations and detailed explanations. The treatment rooms are designed for comfort, often featuring calming elements to create a spa-like atmosphere. The practice prides itself on its meticulous, detail-oriented workmanship, often collaborating with the city’s finest dental laboratories to ensure optimal outcomes. Furthermore, their commitment to the community is evident, as they have built long-term relationships with generations of families, becoming an integral part of the neighborhood’s fabric. In a city teeming with dental options, All Smiles on 12th St. distinguishes itself through its unwavering dedication to personalized care, its investment in the latest technology for superior results, and its creation of a genuinely fear-free environment. It is not merely a place to have dental procedures performed; it is a destination where patients embark on a collaborative journey toward achieving and maintaining a healthy, beautiful smile for life.
