About
Nestled on the prestigious 22nd floor of 275 Madison Avenue in the heart of Midtown Manhattan, the dental practice of Dr. C. Stanley Heifetz, DMD, stands as a beacon of exemplary oral healthcare, merging decades of refined expertise with a deeply personalized, patient-centric philosophy. This is not merely a dental office; it is a sanctuary for comprehensive dental wellness, where cutting-edge technology harmonizes with old-fashioned attentiveness to care for a discerning clientele from across New York City and beyond. The practice is built upon the foundational principle that optimal dental health is integral to overall well-being, confidence, and quality of life.
Dr. Heifetz's journey in dentistry spans over three decades, a career marked by continuous learning, artistic precision, and an unwavering commitment to excellence. His practice at 275 Madison Ave has become a longstanding institution, cultivated through trust and consistent, outstanding results. Patients often speak of the practice's remarkable consistency—the same expert hands, the same calming and professional staff, and the same impeccable standards year after year. This longevity in a fast-paced city like New York is a testament to the deep relationships Dr. Heifetz fosters and the superior clinical outcomes he delivers.
The mission of the practice is elegantly straightforward: to provide the highest standard of ethical, predictable, and comfortable dental care in a respectful and relaxing environment. Dr. Heifetz believes in treating every patient as an individual, not a set of teeth. This involves taking ample time for thorough consultations, listening intently to concerns and goals, and crafting fully customized treatment plans. There is no one-size-fits-all approach here. Whether a patient requires routine preventive care, a complex full-mouth rehabilitation, or anything in between, the plan is developed collaboratively, with clear communication and transparency at every step.
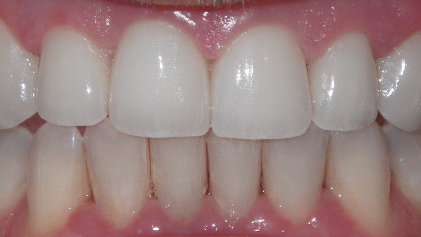
What truly sets Dr. Heifetz apart is his dual mastery of both the science and the art of dentistry. He possesses a meticulous, detail-oriented approach to restorative and cosmetic procedures, understanding that the longevity, function, and aesthetics of dental work are inseparable. His expertise encompasses a wide spectrum, including advanced crown and bridge work, precision-fitting dentures, natural-looking cosmetic veneers, and sophisticated implant dentistry. He operates with the precision of a surgeon and the eye of an artist, ensuring that restorations are not only healthy and functional but also seamlessly beautiful and harmonious with the patient's facial aesthetics.
The practice's unique value proposition is rooted in its combination of profound experience, state-of-the-art technology, and a concierge-like level of service. The office features advanced digital diagnostics, including intraoral cameras and digital X-rays, which minimize radiation exposure and allow patients to see and understand their oral conditions clearly. The environment itself is designed to alleviate anxiety, with a serene, professional atmosphere that feels more like a private consultation room than a clinical setting. This is complemented by a small, dedicated team who provide seamless scheduling, personalized reminders, and meticulous attention to administrative details, making the entire experience exceptionally smooth and respectful of the patient's time.
In a city crowded with dental options, Dr. Heifetz’s practice distinguishes itself through its depth rather than breadth. It is a focused, expert practice built on a legacy of trust. He is not a marketer but a clinician’s clinician, whose reputation has been built almost exclusively on patient referrals—the strongest endorsement possible. For those seeking a dentist who combines the wisdom of experience with modern techniques, who values lasting relationships over volume, and who delivers care with integrity and unparalleled personal attention, Dr. C. Stanley Heifetz represents the gold standard in Manhattan dental care.
