About
Madison Dental Arts stands as a premier dental practice in the heart of Manhattan, embodying a harmonious blend of cutting-edge dental science, artistic craftsmanship, and a deeply personalized patient experience. Located on the 25th floor of 275 Madison Avenue, the practice offers not just world-class dentistry but also breathtaking views of the New York City skyline, creating a serene and uplifting environment that contradicts the typical dental anxiety. Founded on the principle that optimal oral health is integral to overall wellness and confidence, the practice has cultivated a reputation as a trusted destination for discerning patients, from busy professionals and families to celebrities and international clients seeking the pinnacle of cosmetic and restorative care.
The philosophy at Madison Dental Arts is rooted in a 'biopreparative' approach. This means treatments are designed not only to solve immediate dental issues but to prepare and maintain the mouth's biological environment for long-term health, stability, and beauty. The practice is led by highly skilled dentists who view each patient as a unique individual, requiring a customized plan rather than a one-size-fits-all solution. The initial consultation is a cornerstone of their service, involving comprehensive examinations, advanced digital imaging, and detailed discussions to understand patient goals, concerns, and overall health. This collaborative process ensures that patients are fully informed and active participants in their care journey.
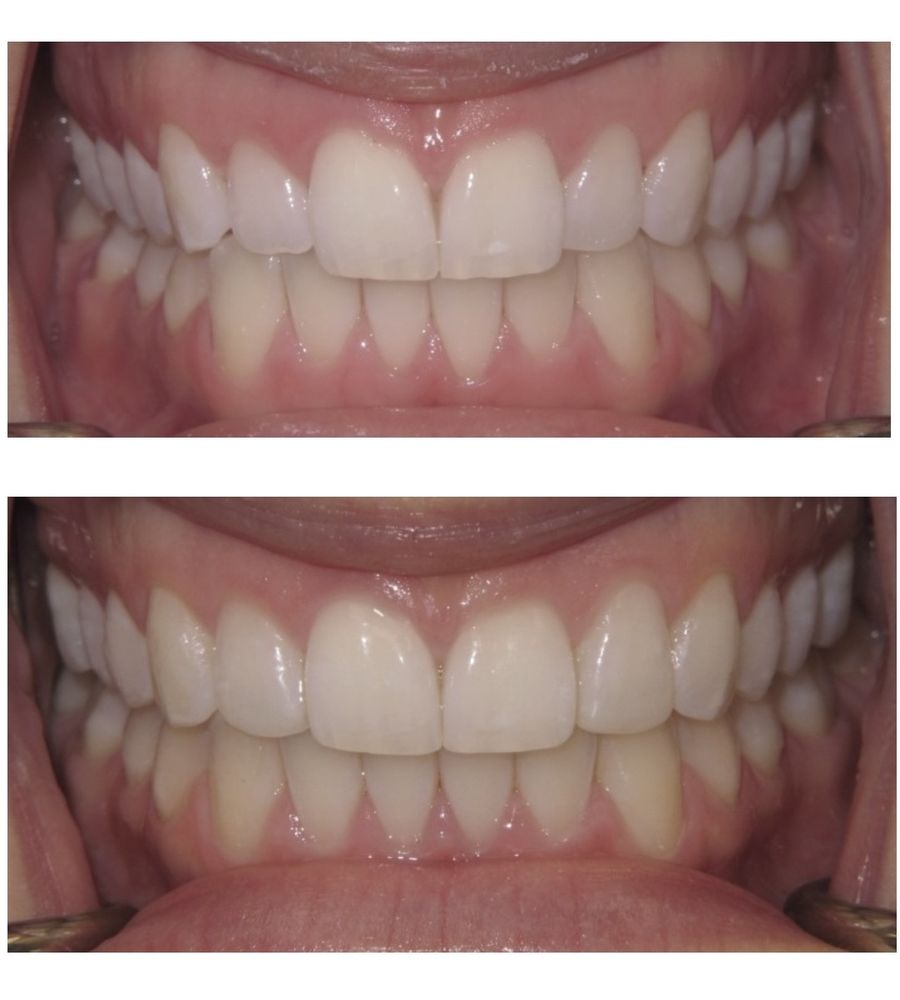
What truly sets Madison Dental Arts apart is its fusion of art and science. The cosmetic dentistry services are performed with an artist's eye for detail, symmetry, and aesthetics, ensuring that veneers, crowns, and smile makeovers look naturally stunning and complement the patient's facial features. Simultaneously, the restorative and implant dentistry is grounded in the latest scientific protocols, using high-precision technology for predictable, long-lasting results. The practice operates as a fully digital dental office, utilizing intraoral scanners that eliminate uncomfortable traditional impressions, CAD/CAM technology for same-day crowns, and 3D cone beam computed tomography (CBCT) for accurate surgical planning. This technology integration enhances comfort, efficiency, and outcomes.
The team’s expertise spans the full spectrum of advanced dentistry. Their proficiency in complex full-mouth rehabilitation, dental implantology, and treating TMJ disorders is particularly notable. They handle cases that many general practices would refer out, providing continuity of care under one roof. The practice also places a strong emphasis on minimally invasive dentistry, preserving as much natural tooth structure as possible, and on periodontal health as the foundation for all other treatments.
Beyond technical excellence, the patient experience is meticulously curated. From the moment patients step into the elegantly appointed, spa-like office, they encounter a warm, compassionate staff dedicated to making each visit comfortable and stress-free. The practice operates with a concierge-level of service, accommodating demanding schedules, ensuring seamless coordination of care, and prioritizing clear communication. This commitment to an exceptional, patient-centered experience, combined with uncompromising clinical excellence in one of the world's most competitive cities, defines the unique value proposition of Madison Dental Arts. It is not merely a dental office; it is a destination for those who seek to invest in their health, aesthetics, and well-being through the highest standard of modern dentistry.
