About
NYC Smile Spa, located at 30 E 60th St Suite 1201 in the heart of New York City's Upper East Side, stands as a beacon of excellence in dental care, delivering over 35 years of outstanding service to patients seeking transformative smiles and lifelong oral health. Founded on the principles of patient comfort, efficiency, and uncompromising quality, the practice has evolved into a premier destination for comprehensive dentistry, particularly renowned for its expertise in cosmetic enhancements and phobia-free experiences. Under the leadership of Dr. Michael Krochak, who has been at the helm for decades, NYC Smile Spa has built a legacy of trust, with long-term patients like one reviewer who has been visiting for 44 years praising the exceptional medical and support staff.[1][5] The practice's history is marked by a steadfast commitment to innovation and patient-centered care, adapting to advancements in dental technology while maintaining a welcoming spa-like atmosphere that sets it apart in the bustling Manhattan dental landscape.[5][6]
The mission of NYC Smile Spa is clear and unwavering: to prioritize patient comfort above all, respecting individual needs and time while fostering lifelong dental health relationships. As Dr. Krochak emphasizes, 'The biggest surprise for most of our patients is how efficiently we work and how comfortable their experience can be... It’s the hallmark of our practice and how we are different from other dental offices.'[5] This philosophy permeates every aspect of the practice, from virtual office tours that help new patients feel at home before their first visit to painless injection techniques and specialized protocols for those with dental phobia.[5][8] Their unique value proposition lies in this blend of efficiency, empathy, and expertise—offering results that are 'second to none' in a serene environment where patients are treated like family, not just numbers.[2][5]
Services at NYC Smile Spa span a full spectrum of general and cosmetic dentistry, ensuring all oral health needs are met under one roof. Core offerings include general dentistry such as bonding, tooth-colored fillings, dentures, extractions, oral surgery, gum disease treatment, porcelain inlays/onlays, protective crowns, fixed bridges, and root canal therapy. Cosmetic dentistry is a flagship specialization, featuring bleaching and teeth whitening, cosmetic recontouring, Invisalign clear aligners, periodontal plastic surgery, and porcelain veneers that deliver stunning smile makeovers.[5][7][8] Advanced restorative solutions like dental implants, including Hybridge Full Arch Dental Implants, address complex needs for full-mouth rehabilitation.[3][5] The practice also excels in specialized care for sleep apnea/snoring, TMD/TMJ disorders, and even Botox & fillers for aesthetic facial harmony.[8] What truly distinguishes NYC Smile Spa is its mastery in conquering dental fear; as self-proclaimed 'Dental Phobia experts,' they employ gentle techniques, thorough communication, and a calming ambiance to turn anxious visits into positive, exciting experiences—as evidenced by reviews like 'I hate going to the dentist... But the experience at NYC Smile Spa was different,' and 'Best cleaning I've ever had!'[1][2]
The team's expertise is unparalleled, led by Dr. Michael Krochak, whose decades of experience anchor the practice, alongside Dr. Joshua Perlman, noted for emergency responsiveness and exceptional cleanings; Dr. Alexander Komar, a prosthodontist specializing in implants and restorations; and Dr. Alexandra Finkelstein, DDS.[1][4][6][8] This collective proficiency, combined with state-of-the-art dental technology, enables precise, minimally invasive treatments that prioritize both function and beauty.[5][6] Patient testimonials underscore this, boasting a 4.9-star rating from 445 reviews on Birdeye and 4.5 on MapQuest, with praise for professionalism, thoroughness, and life-changing results.[1][2]
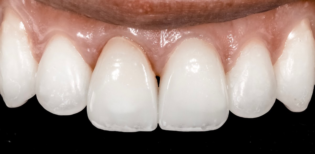
What sets NYC Smile Spa apart from competitors is its holistic approach: not just fixing teeth, but empowering confidence through smiles that signal health, friendliness, and success. Citing the American Academy of Cosmetic Dentistry, they highlight how 92% of Americans view an attractive smile as a key social asset, fueling their passion for aesthetic dentistry that boosts careers and personal appeal.[7] Their before-and-after transformations speak volumes, showcasing remarkable patient outcomes that inspire trust.[5] Open weekdays with extended hours until 6 PM (Friday to 3 PM), they welcome new patients with easy online forms and a focus on building lasting relationships.[2][5][8] In a city of high-stakes dental options, NYC Smile Spa's spa-like serenity, phobia expertise, 35+ years of proven results, and unwavering patient-first ethos make it uniquely positioned to deliver not just dental care, but a renewed sense of self-assurance. Whether you're pursuing veneers for a Hollywood smile, implants for stability, or simply a phobia-free cleaning, NYC Smile Spa promises an experience where comfort meets cosmetic mastery, setting a gold standard in Upper East Side dentistry.
