About
Dr. Shu Ping Rong, DDS, stands as a beacon of excellence in general dentistry, operating from her state-of-the-art practice at 101 Lafayette St, 6th Floor, New York, NY 10013. With over 15 years of dedicated service in the heart of Chinatown, Dr. Rong has built a reputation as a compassionate, highly skilled dentist committed to transforming smiles and enhancing oral health for patients of all ages. Her journey into dentistry began with a profound Doctor of Dental Surgery (DDS) degree from the prestigious Stony Brook University School of Dental Medicine, where she honed her foundational skills in comprehensive dental care. Eager to expand her expertise, she completed a rigorous General Practice Residency at Queens Hospital Center, part of the esteemed Mount Sinai Health System, gaining invaluable hands-on experience in managing diverse patient needs. Dr. Rong's pursuit of advanced proficiency did not stop there; she invested two years in specialized implant training at the Englewood Implant Center and another two years in orthodontic seminars at Progressive Orthodontic Seminars in California, equipping her with cutting-edge techniques in implantology and orthodontics.
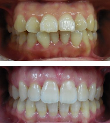
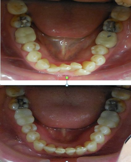
The mission of Shu Ping Rong, DDS, is rooted in a patient-centered philosophy that blends scientific precision with humanistic care. Dr. Rong believes that dentistry is not merely about treating teeth but about fostering lifelong oral health, boosting confidence, and improving quality of life. This ethos is evident in her practice's emphasis on preventive care, advanced treatments, and personalized attention. Services encompass a full spectrum of general dentistry, including routine cleanings, dental consultations, emergency care, root canals, bridges, and endodontics. Her expertise extends into specialized areas such as periodontics, laser dentistry, cosmetic dentistry, and orthodontics & dentofacial orthopedics, making her a one-stop solution for complex dental needs. Patients frequently seek her out for dental emergencies, bridges, and cleanings, reflecting her reliability in both urgent and routine scenarios.[1][2]
What truly sets Dr. Shu Ping Rong apart is her unique value proposition: a rare fusion of multilingual accessibility, elite certifications, and a track record of prestigious accolades. Fluent in English, Mandarin, and Cantonese, she bridges cultural gaps in New York's diverse Chinatown community, ensuring clear communication and culturally sensitive care. As an Invisalign VIP Platinum Plus Provider for both adults and teens in 2018, she excels in discreet orthodontic solutions, complemented by her extensive orthodontic training. Her practice, Shu Ping Rong DDS, has earned consistent recognition, including America's Top Dentist from 2012 to 2018 and the Patients' Choice Award over the same period, underscoring her exceptional patient satisfaction—boasting a 4.56 out of 5 likelihood-to-recommend score on Healthgrades based on 30 reviews.[1][2]
Dr. Rong's professional memberships in the Academy of General Dentistry and the New York County Dental Society further affirm her commitment to staying at the forefront of dental advancements through continuous education and peer collaboration. Unlike many general practices that refer out for implants or orthodontics, Dr. Rong's in-house expertise allows for seamless, efficient treatment plans under one roof, minimizing patient inconvenience and costs. Her NPI number, 1285935999, and over 15 years of experience since graduating in 2009 position her as a seasoned professional who combines perseverance with innovation.[1][2]
In an industry often criticized for impersonal service, Shu Ping Rong, DDS, distinguishes itself through genuine dedication. Dr. Rong's career embodies the perseverance demanded by dentistry—balancing scientific rigor with empathetic patient interactions. Whether addressing periodontal disease, crafting cosmetic enhancements with laser precision, or guiding teens through Invisalign journeys, her practice delivers outcomes that exceed expectations. Patients rave about her gentle approach, thorough explanations, and transformative results, making her office a trusted haven amid Manhattan's bustling dental landscape. For those seeking a dentist who views every smile as unique, Dr. Rong offers not just treatment, but a partnership in oral wellness that lasts a lifetime. With a female-led practice emphasizing empowerment and excellence, Shu Ping Rong, DDS, continues to set the standard for comprehensive, compassionate dentistry in New York City.
