About
Nestled in one of Manhattan's most prestigious addresses overlooking Central Park, Smile Central Park represents the pinnacle of cosmetic and restorative dentistry in New York City. This elite dental practice, situated at 30 Central Park South, Suite 13C, is far more than a dental office; it is a sanctuary of oral health, aesthetic artistry, and personalized care designed for a discerning clientele that expects nothing less than excellence. Founded on the principle that a brilliant, healthy smile is a cornerstone of confidence, wellness, and success, the practice has cultivated a reputation as a hidden gem where world-class dental science meets the art of bespoke service in an atmosphere of tranquility and luxury.
The philosophy of Smile Central Park is deeply rooted in a patient-centric, holistic approach. The practice operates on the mission to provide transformative dental care that not only enhances oral function and health but also elevates the patient's overall quality of life and self-image. Understanding that each patient's needs, desires, and anxieties are unique, the team dedicates extraordinary time to consultation, education, and building genuine, trusting relationships. This commitment ensures that every treatment plan is not a generic protocol but a fully customized roadmap, co-created with the patient to achieve their specific goals, whether it's a complete smile makeover, the seamless repair of a single tooth, or lifelong preventive care.
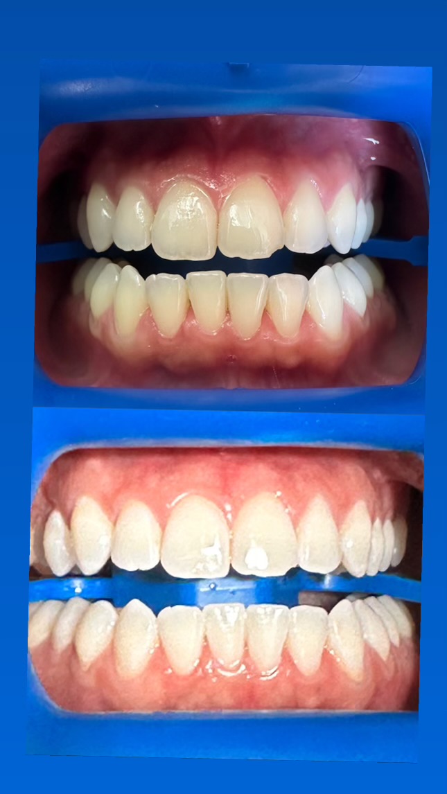
What truly sets Smile Central Park apart in the competitive landscape of Manhattan dentistry is its powerful fusion of location, luxury, and leading-edge expertise. The practice's environment is meticulously designed to dissolve the typical anxiety associated with dental visits. Upon entering, patients are greeted by a serene, elegantly appointed space featuring calming aesthetics, panoramic views of Central Park, and every conceivable comfort. This setting mirrors the gentle, compassionate, and unrushed care provided by the clinical team. The practice specializes in high-complexity cosmetic dentistry, full-mouth rehabilitation, and implantology, utilizing a curated suite of the most advanced technology available. This includes low-radiation digital X-rays, intraoral scanners that eliminate uncomfortable impressions, and state-of-the-art 3D cone beam CT imaging for precise surgical planning, all contributing to predictable, minimally invasive, and superior outcomes.
The expertise at the helm of the practice is its most critical differentiator. The lead dentist, supported by a team of specialists and highly trained staff, possesses a rare blend of technical mastery, continuous education in the latest techniques, and an artistic eye for facial aesthetics and smile design. This expertise is not static; it is constantly evolved through attendance at top-tier postgraduate institutes and collaboration with renowned dental laboratories that craft restorations of unparalleled quality and beauty. The practice's unique value proposition lies in this trifecta: providing treatments that are at the absolute forefront of dental science, delivered with an artist's attention to detail, and wrapped in a five-star, concierge-level patient experience. From flexible scheduling and seamless communication to meticulous follow-up, every touchpoint is engineered for convenience and comfort.
Ultimately, Smile Central Park has distinguished itself by redefining what it means to visit the dentist. It transcends the transactional nature of healthcare, positioning itself as a long-term wellness partner dedicated to preserving and enhancing one of a person's most valuable assets—their smile. It attracts not only New York's residents and professionals but also an international clientele who seek discreet, exceptional care. In a city renowned for its excellence, Smile Central Park stands apart by consistently delivering a rare combination of transformative clinical results, profound personal attention, and an experience that is as exceptional as the iconic views from its windows. It is where dental health becomes an integral part of a luxurious, health-conscious lifestyle.
